Many people wonder: If my teeth are badly damaged, can I just have them all removed and replaced with implants? The short answer is no—and it’s rarely the best choice. In most cases, even severely damaged teeth can be saved with proper treatment. Natural teeth are almost always preferable to artificial replacements.
Why Save a Damaged Tooth?
Your natural teeth have unique advantages that dentures or implants can’t fully replicate. They’re anchored by periodontal ligaments—tiny fibers that act as shock absorbers—making chewing more comfortable and natural. Even when a tooth is painful or decayed, modern dentistry offers ways to preserve it.
For example:
- Infected dental nerves (pulpitis): Root canal treatment can remove the infected tissue while saving the tooth structure.
- Severely broken teeth: If only the root remains and it’s healthy (not inflamed), dentists can often rebuild the tooth using a post and crown—even if more than half the original tooth is gone.
Only when a tooth has no remaining structure, is beyond repair, or poses a risk to surrounding teeth should extraction be considered. Replacement options like implants or dentures should be reserved for truly missing teeth—not as a first solution.
“Isn’t It Better to Pull a Painful Tooth?”
This is a common misconception. Tooth pain is a symptom—not a reason to extract. Most dental pain comes from treatable conditions:
- Acute apical abscess: Pain when biting often means infection has spread from a dead nerve to the bone around the root tip. Pus may even form a small bump (fistula) on the gums.
- Solution: Drain the infection, perform a root canal to clean the root canal system, and seal it properly. The fistula will heal on its own. After placing a crown, you’ll have a fully functional natural tooth—far superior to any artificial replacement.
Dentures and implants can’t match the comfort and stability of your own teeth. Over time, dentures may cause gum recession, bone loss, and require costly adjustments or replacements.
What About Loose Teeth from Gum Disease?
Periodontitis (gum disease) can loosen teeth as bone support is lost—but extraction isn’t always necessary.
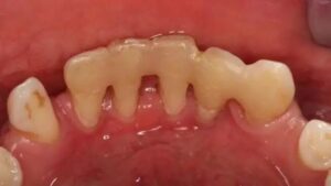
- Mild to moderate looseness: With deep cleaning (scaling and root planing) and daily use of antiseptic mouthwash (like chlorhexidine), inflammation can be controlled. Teeth with moderate looseness can often be stabilized using a periodontal splint—a device that gently binds them to neighboring stable teeth.
- Severe looseness: Only teeth with no bone support and no function should be removed. After extraction, bone grafting may be needed before considering implants.
Chronic periodontitis requires ongoing care, but the goal is always to preserve as many natural teeth as possible. Replacing all 28 adult teeth is costly, time-consuming, and rarely necessary. Plus, even dental implants can develop complications like peri-implantitis (inflammation around the implant) and aren’t permanent—they may need replacement after 10–15 years.
The Bottom Line
Your natural teeth are worth saving. They provide better function, comfort, and long-term oral health than artificial replacements. Modern dentistry offers many ways to rescue damaged or diseased teeth—from root canals to gum treatments and splinting.
Don’t rush to extract a tooth that can be treated. Work with your dentist to explore all preservation options first. When it comes to your smile, real teeth are almost always the best choice.
